
Un nuovo sorriso soddisfacente a livello funzionale ed estetico dipende, prima di tutto, dal corretto posizionamento degli impianti dentali che reggeranno la nuova arcata dentale, in sostituzione di quella naturale.
Un impianto dentale è una piccola vite inserita nell’osso e progettata per sostituire la radice di un dente naturale mancante. Grazie alla sua biocompatibilità, l’impianto dentale si integra perfettamente con l’osso e diventa un buon punto di ancoraggio per il dente sostitutivo (una corona in ceramica o in materiali innovativi) o per sostenere protesi di più elementi.
Quando occorre sostituire un’intera arcata bastano quattro o sei impianti distribuiti in modo strategico e a cui viene poi avvitata una protesi fissa. In questo caso la protesi si chiama Toronto Bridge e le tecniche di ancoraggio All on four (tutto su quattro) oppure All on six (tutto su sei).
Per inserire gli impianti a sostegno di una protesi ci sono vari metodi, uno di questi si avvale dell’utilizzo della mascherina chirurgica odontoiatrica in resina, una specie di dima che contiene dei fori per indirizzare la fresa usata dal chirurgo per indirizzare la fresa usata dal chirurgo. Grazie a questa guida il posizionamento degli impianti dentali avviene nella posizione esatta, con inclinazione e profondità giuste. Tutti dettagli stabiliti nella fase si studio e progettazione, precedenti all’operazione. A titolo di esempio, ecco alcune immagini di un nostro caso clinico.


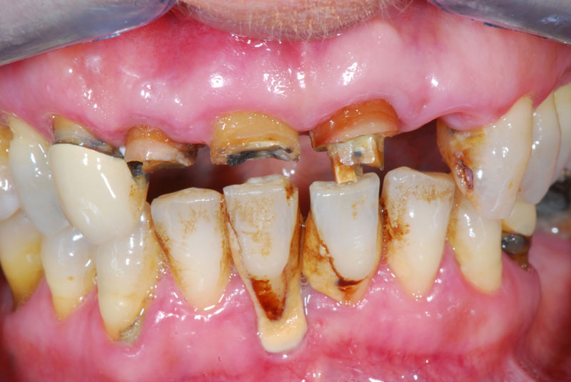
Vediamo lo stato compromesso del gruppo frontale, con dei residui radicolari da estrarre.
In alcuni casi, come questo, è possibile inserire gli impianti il giorno stesso delle estrazioni, una tecnica denominata Carico immediato.

Osserviamo la mascherina chirurgica con i fori guida per le frese che permetterà l’inserimento funzionale degli impianti.

Vediamo il ponte provvisorio, posizionato immediatamente dopo la chirurgia, che permetterà al paziente di riprendere una normale vita di relazione, in attesa della protesi definitiva, che verrà inserita più avanti, per lasciare al corpo il tempo di rigenerarsi dopo l’operazione.

Osserviamo la radiografia postoperatoria che evidenzia il perfetto parallelismo degli impianti inseriti ottenuto grazie all’utilizzo della mascherina chirurgica.
Se desideri maggiori informazioni contattaci!
06.42020927
327.0884780
segreteria@studiodentisticobarberini.it
